What caused the pulmonary oedema?

(A case of attempted hanging)

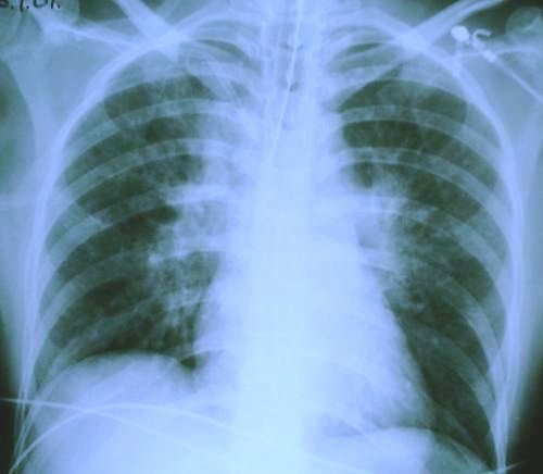
linear skin abrasion following attempted hanging A young woman was admitted to ICU after an attempted hanging. The neck abrasion present on admission is shown in the above photograph. There was no evidence of cerebral ischaemic or hypoxic damage, cervical spine injury, or carotid artery lesions. The following picture shows her initial chest x-ray, taken shortly after admission.

initial chest x-ray

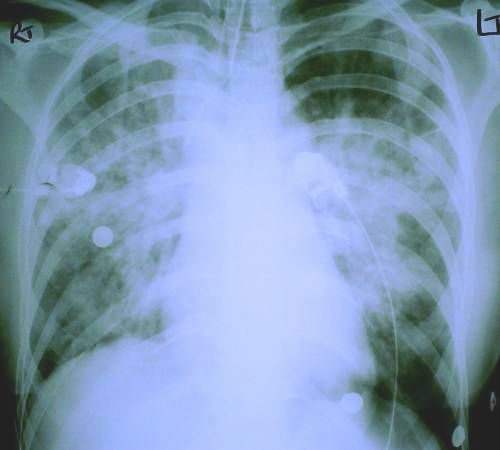
.. and a chest x-ray taken several hours later..

subsequent chest x-ray

The question is, what caused the bilateral pulmonary infiltrates that blossomed in her lungs?


Answers?

There are several possibilities, but by far the most likely is negative pressure pulmonary oedema . This is a complex phenomenon, related to airway obstruction (or, some allege, to relief of airway obstruction). The likely mechanism is thought to be a compound of massively negative intrathoracic pressure, increased left ventricular afterload, and massive sympathetic outflow, all resulting in pooling of blood in the pulmonary capillaries causing pulmonary oedema.

The woman made a good recovery after 48 hours of ventilation with a positive end-expiratory pressure of 10 cmH 2 and avoidance of diuretic therapy.