Multiplane TOE  

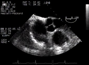
On most modern TEE probes, there are controls to rotate the plane of imaging clockwise or anticlockwise. Examining our images from the previous sections, you'll see that on many of the echo images, there is a tiny icon thus:

indicator of image plane in multiplane TEE

You can deduce that in multiplane imaging, the plane of the image can be rotated from zero degrees through to 180 degrees, in place of the simple zero and ninety degrees of biplane probes (or, if you wish, 'short' and 'long axis' views). In fact, with some probes, the clockwise rotation of the imaging plane can be extended to -5o, which can be convenient on occasion. Some TEE systems use a different icon to the above one (with a circle instead of a semicircle). We will soon see widespread use of (expensive) TEE machines that will provide three dimensional visualisation of the heart - such innovation may eventually render our painstaking analysis of views at different levels almost obsolete!

The principles of multiplane imaging are the same as for biplane imaging - the probe is simply a lot more convenient to use. Multiplane imaging has now become the standard. You will find that it's often difficult to cut anatomical structures such as the aortic valve at right angles with biplane imaging. Compare the following two images:

CLICK FOR VIDEO: aortic valve (basal)
MPG  MPG4  QT  Real 
CLICK FOR VIDEO: aortic valve short axis
MPG  MPG4  QT  Real 

The important thing with multiplane TEE is not to get too hung up with the precise plane in which you are viewing things. Get a feel for the anatomy, and the planes will look after themselves!

< Previous ^ Home Next >