Is it an 'RBBB' ?

Scenario

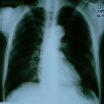
A forty six year old black male was admitted with ischaemic lower limbs. He had overt gangrene of the left foot with rest pain. History was difficult to obtain, but on direct questioning he had a vague history of ill-defined chest pain. He appeared ill and toxic, was pyrexial, and the left foot smelled grossly offensive. All his lower limb pulses were absent. The rest of his examination (including cardiac examination) was non-contributory. He had no risk factors for cardiovascular disease apart from a thirty pack-year smoking history. Baseline investigations showed a moderate leukocytosis and mild hyponatraemia (Serum sodium 129 mmol/l) but no other abnormalities. His chest x-ray is shown in figure 1.

Chest x-ray of patient showing a normal-sized heart, really rather unremarkable but is there pulmonary oedema?
Fig 1. The patient's chest x-ray

Aortic angiogram of patient showing iliac arteries tapering off to nothing
Fig 2. Abdominal aortic angiogram

With their usual enthusiasm, the vascular surgeons obtained a gated radionuclide cardiac ejection fraction (MUGA scan) which returned a value of 25% (Normal value: > 50%). They also obtained an angiogram of the abdominal aorta, shown in figure 2.

QUESTION 1. In view of the chest x-ray, does the MUGA ejection fraction surprise you?

The patient's electrocardiogram (ECG) is shown in Figure 3. A senior cardiologist saw the ECG and said that a right bundle branch block was present, but was otherwise unconcerned.

ECG picture - is this a RBBB? Wide bizarre R prime waves in V1 and adjacent leads
Fig 3. ECG taken on 14 January 2000

QUESTION 2. Do you agree with the cardiologist?

The vascular surgeons decided to insert an aorto-bifemoral graft. The patient's left foot is shown in Figures 4 and 5.

gangrene of foot

gangrene showing black toes


Figs 4,5. The patient's left foot.

QUESTION 3. Do you agree with the vascular surgeons' proposed management?



Answers