Malaria References & Picture Gallery

Back up Back Home


Malaria Pictures

(Culled from various places around the net)

Anopheles - see how she sits!
Anopheles mosquito

Exflagellation
oocysts
Oocysts: mosquito midgut

falciparum: sporozoites
Plasmodium sp. sporozoites

falciparum: exo-erythrocytic schizont

Schizont in liver section
falciparum: merozoites bud from exo-erythrocytic schizonts

P falciparum ring form, thin film, Giemsa
P falciparum: ring stage

vivax: growing trophozoite
malariae: growing trophozoite
malariae: trophozoite band form

P falciparum: immature schizont
vivax: growing schizont
vivax: mature schizont
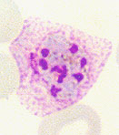
malariae: mature schizont
Plasmodium sp: schizont

P falciparum, immature gametocyte, thin film, Giemsa
falciparum: immature gametocyte
vivax: macrogametocyte
malariae: macrogametocyte


{We need more details on how to distinguish between falciparum and the others, especially!}

References

{we rather liked these}
  1. J Leukoc Biol May 1997 Vol 61 pp551-8
    Lucas R et al
    {medline abs} TNF receptor-2 knockout mice confers protection against cerebral malaria - this prevents ICAM-1 up-regulation on microvascular endothelial cells. (TNFR1 doesn't seem important here).
  2. Int J Parasitol Feb 1997 Vol 27 pp 231-40
    Foley M & Tilley L (La Trobe, Australia) Discusses the quinoline antimalarials and their mode of action, also referring to resistance to them.
  3. The Indian Journal of Medical Research (August 1997 Vol 106) has a treasure trove of stuff on malaria.
  4. Cecil's Textbook of Medicine has a short but reasonable section on malaria (20th Edn, Bennett & Plum, pp1893-1896, ISBN0-7216-3561-X)
  5. J Clin Immunol Jul 1996 16(4) pp183-9
    Amador R & Patarroyo ME Address the controversial topic of malaria vaccines. {Somewhat speculative}
  • Also see various references scattered throughout the text!

    Web References

    Try: